Bệnh gan nhiễm mỡ không do rượu

Bệnh gan nhiễm mỡ không do rượu (NAFLD) và viêm gan nhiễm mỡ không do rượu (NASH) đang trở thành một thách thức y tế toàn cầu trong bối cảnh hội chứng chuyển hóa ngày càng gia tăng. Khác với bệnh gan do virus hay rượu, NAFLD/NASH có liên quan mật thiết đến béo phì, đái tháo đường, rối loạn lipid máu và tăng huyết áp – những vấn đề phổ biến trong lối sống hiện đại. Tỷ lệ mắc bệnh đang tăng nhanh không chỉ ở người trưởng thành mà còn ở thanh thiếu niên, đặt ra yêu cầu cấp thiết về nhận diện sớm, đánh giá nguy cơ và quản lý toàn diện. Trong đào tạo y khoa hiện đại, đặc biệt tại Trường Đại học Y khoa Tokyo Việt Nam, việc cập nhật kiến thức về các bệnh lý chuyển hóa như NAFLD/NASH có ý nghĩa quan trọng trong thực hành lâm sàng, chẩn đoán hình ảnh và xét nghiệm, nhằm chuẩn bị nguồn nhân lực y tế có khả năng đáp ứng xu hướng bệnh tật mới của xã hội.

Tại Nhật Bản, ước tính có khoảng 10 triệu người mắc NAFLD, với tỷ lệ mắc từ 9-30%. NAFLD được chẩn đoán bằng siêu âm ổ bụng trong các lần khám sức khỏe định kỳ ở khoảng 40% nam giới và 20% phụ nữ. Theo Tạp chí y khoa quốc tế Hepatology thuộc Hiệp hội Nghiên cứu Bệnh gan Hoa Kỳ (American Association for the Study of Liver Diseases – AASLD), tỷ lệ mắc NALFD ở thanh thiếu niên (15-19 tuổi) trên toàn cầu đã tăng hơn 26% trong giai đoạn 1990 – 2019.

benh-gan-nhiem-mo-khong-do-ruou-1
Sự khác nhau giữa gan nhiễm mỡ và gan khỏe

Những thay đổi trong chế độ ăn uống và lối sống, chẳng hạn như ăn quá nhiều và thiếu vận động, đã dẫn đến hội chứng chuyển hóa, kèm theo béo phì, tiểu đường, rối loạn lipid máu và tăng huyết áp. NAFLD được coi là biểu hiện ở gan của hội chứng chuyển hóa.

NAFLD là một tình trạng đặc trưng bởi gan nhiễm mỡ được xác nhận bằng chẩn đoán mô học hoặc chẩn đoán hình ảnh, loại trừ các bệnh gan khác như viêm gan virus, bệnh gan do rượu và bệnh gan tự miễn. Tại Nhật Bản, tiêu chuẩn “không do rượu” được định nghĩa là lượng rượu tiêu thụ dưới 30g/ngày đối với nam giới và dưới 20g/ngày đối với nữ giới. Gan nhiễm mỡ do thuốc không được bao gồm trong NAFLD/NASH.
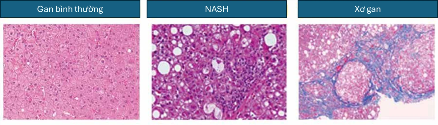
benh-gan-nhiem-mo-khong-do-ruou-2
Hình ảnh mô gan được quan sát dưới kính hiển vi sau khi lấy mẫu mô gan bằng phương pháp sinh thiết.

Triệu chứng và dấu hiệu nghi ngờ NAFLD/NASH

  • NAFLD/NASH thường không có triệu chứng rõ rệt, không có dấu hiệu hoặc phát hiện thực thể cụ thể. Tuy nhiên, các triệu chứng như mệt mỏi, khó chịu vùng thượng vị bên phải, rối loạn giấc ngủ và gan to có thể xuất hiện.
  • Hội chứng chuyển hóa, kèm theo béo phì và tiểu đường, là một yếu tố nguy cơ của NAFLD/NASH, và thường được chẩn đoán thông qua tổn thương gan hoặc siêu âm trong các lần khám sức khỏe tổng quát.

Các xét nghiệm cần thiết trong lần khám đầu tiên

Ngoài việc hỏi về việc sử dụng thuốc và thực phẩm chức năng, cũng như tiền sử sử dụng rượu, các xét nghiệm chức năng gan như AST, ALT và γGTP; số lượng tiểu cầu; và 1 số xét nghiệm miễn dịch như HBs-Ag, IgG và IgM sẽ được thực hiện.

Chẩn đoán xác định

NASH được phân biệt với NAFLD bằng sinh thiết gan. Mặc dù xét nghiệm mô bệnh học gan là tiêu chuẩn vàng để chẩn đoán NASH, nhưng do tính chất xâm lấn, phương pháp này được khuyến cáo trong các trường hợp khó phân biệt với các bệnh gan mãn tính khác hoặc trong các trường hợp nguy cơ cao với xơ gan nặng. Các chỉ số xơ gan trong huyết thanh, hệ thống chấm điểm và các phương pháp chẩn đoán hình ảnh không xâm lấn đang được phát triển như những phương án thay thế cho sinh thiết gan.
Chế độ ăn uống lành mạnh giúp phòng ngừa gan nhiễm mỡ
Chế độ ăn uống lành mạnh giúp phòng ngừa gan nhiễm mỡ

Mục tiêu điều trị

NAFLD/NASH cần được nhận biết không chỉ là yếu tố nguy cơ gây ra các bệnh gan tiến triển như xơ gan và ung thư gan, mà còn là yếu tố nguy cơ gây ra các bệnh ngoài gan như bệnh tim mạch và u ác tính. Trong thời gian gần đây, chỉ số Fib-4* được sử dụng như một chỉ số không xâm lấn nhằm dự đoán sự xuất hiện và tiến triển của xơ hóa gan. Chỉ số này được tính toán dựa trên các giá trị ALT, AST và số lượng tiểu cầu trong xét nghiệm máu, qua đó đánh giá được mức độ xơ hóa gan. Nếu chỉ số này dưới 1,45 (giá trị chuẩn) thì không đáng lo ngại. Tuy nhiên, nếu cao hơn giá trị chuẩn, cần thực hiện các xét nghiệm bổ sung để đánh giá tình trạng gan. Ngoài ra, thiết bị FibroScan cho phép đo độ cứng của gan (mức độ xơ hóa) chỉ trong vài phút bằng siêu âm.
 
*Chỉ số Fib-4 = [AST (U/L) x tuổi (năm)] / [số lượng tiểu cầu ( /L) x  ]
 
Tất cả các hướng dẫn đều khuyến nghị thay đổi lối sống thông qua chế độ ăn uống và tập thể dục như bước đầu tiên. Trước hết, hãy đặt mục tiêu giảm khoảng 3% cân nặng hiện tại. Khi cân nặng giảm 3% nhờ chế độ ăn uống và vận động, lượng mỡ trong gan bắt đầu giảm. Giảm 5% cân nặng sẽ giúp lượng mỡ trong gan giảm đáng kể, giảm 7% sẽ làm tình trạng viêm gan được cải thiện, và nếu giảm được 10% cân nặng, sự tiến triển của xơ hóa gan sẽ bị ức chế. Về chế độ ăn, cần duy trì ba bữa đều đặn, ăn no khoảng 80%, tránh ăn quá nhiều trong một bữa, tránh ăn khuya và hạn chế ăn vặt. Đặc biệt, đồ ngọt và lượng đường trong trái cây rất dễ chuyển thành mỡ, là “kẻ thù” lớn trong điều trị. Vận động cần được lồng ghép vào sinh hoạt hằng ngày. Nếu chỉ lên xuống 2–3 tầng, hãy dùng cầu thang bộ thay vì thang máy. Tập thể dục nhịp điệu và tập tạ cũng được khuyến nghị cho liệu pháp tập thể dục.
 
Hơn nữa, vì NAFLD/NASH có liên quan chặt chẽ đến hội chứng chuyển hóa (tăng huyết áp, rối loạn lipid máu và tiểu đường (kháng insulin)), nên việc điều trị các bệnh lý đi kèm cũng rất cần thiết. Các thử nghiệm lâm sàng về thuốc chẹn thụ thể angiotensin II (ARBs), thuốc điều trị rối loạn lipid máu và thuốc tăng độ nhạy insulin đã được thực hiện với mục tiêu giảm tiến triển bệnh gan và nguy cơ tim mạch. Vitamin E chống oxy hóa được khuyến nghị cho NAFLD ở những bệnh nhân không có bệnh lý nền. Trên thế giới, nhiều công ty dược phẩm đang tích cực nghiên cứu và phát triển thuốc điều trị NASH, tuy nhiên cho đến nay vẫn chưa có thuốc nào được phê duyệt chính thức để điều trị căn bệnh này.

NAFLD/NASH không chỉ là bệnh lý tại gan mà còn là biểu hiện của rối loạn chuyển hóa toàn thân, liên quan chặt chẽ đến nguy cơ tim mạch, ung thư và các biến chứng mạn tính khác. Việc phát hiện sớm thông qua xét nghiệm sinh hóa, chỉ số không xâm lấn như Fib-4, phương pháp đo độ đàn hồi gan (FibroScan), cùng với thay đổi lối sống là nền tảng quan trọng trong quản lý bệnh. Trong bối cảnh hiện nay khi chưa có thuốc điều trị đặc hiệu được phê duyệt, chiến lược điều trị tập trung vào kiểm soát cân nặng, cải thiện chuyển hóa và điều trị các bệnh lý đi kèm. Tại Trường Đại học Y khoa Tokyo Việt Nam, sinh viên các ngành Điều dưỡng, Kỹ thuật xét nghiệm y học và Kỹ thuật hình ảnh y học được trang bị kiến thức cập nhật về chẩn đoán và theo dõi các bệnh lý gan chuyển hóa, góp phần nâng cao năng lực chăm sóc người bệnh một cách toàn diện và phù hợp với xu hướng y học chính xác trong tương lai.

Nguồn trích dẫn: https://medical.nikkeibp.co.jp/leaf/all/series/guideline/202205/575051.html

TS Trần Thị Thanh Huyền

Giảng viên khoa Kỹ thuật xét nghiệm y học

Bệnh lậu (GONORRHEA)

ĐẠI CƯƠNG Lịch sử bệnh lậu Bệnh lậu là một trong những bệnh lây truyền...

THUV công bố thông tin tuyển sinh đại học năm 2026: Những điểm thí sinh cần biết

Trường Đại học Y khoa Tokyo Việt Nam (THUV) chính thức công bố thông tin...

Nét tương đồng văn hóa trong lễ hội năm mới Việt Nam – Nhật Bản: Từ bánh chưng đến bánh dày mochi

Mỗi quốc gia đều có những phong tục và lễ hội truyền thống trong dịp...

Giới thiệu về trang phục truyền thống của Nhật Bản – Kimono

Việt Nam có một trang phục rất đẹp là Áo dài. Áo dài có nhiều...

THUV tổ chức tập huấn BLS/Sơ cấp cứu cập nhật AHA 2025 cho sinh viên

Ngày 26/3/26, Trường Đại học Y khoa Tokyo Việt Nam (THUV) đã tổ chức buổi...

Quẻ bói đầu năm – Nét giao thoa văn hóa tâm linh giữa Việt Nam và Nhật Bản

Mỗi khi năm mới bắt đầu, con người thường có xu hướng nhìn lại chặng...